폐암은 우리나라에서 발병률과 사망률이 높은 암 중 하나로, 조기 발견이 특히 중요한 질환입니다. 그러나 초기에는 감기나 기관지염으로 오인하기 쉽습니다. 오늘은 폐암 초기증상에 대해 구체적으로 살펴보겠습니다.
1. 폐암이란 무엇인가요?
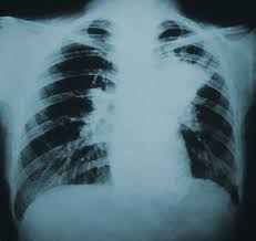
폐암은 폐에 있는 세포가 비정상적으로 증식하는 질환으로, 크게 비소세포폐암과 소세포폐암으로 나뉩니다. 대부분은 비소세포폐암에 해당하며, 소세포폐암은 진행이 빠르고 전이가 잘 되는 특징이 있습니다.
폐는 산소와 이산화탄소를 교환하는 중요한 기관이므로, 암이 발생하면 호흡 기능에 치명적인 영향을 줍니다.
2. 폐암 초기증상 🔎🚨



1) 만성 기침
2주 이상 지속되는 기침은 폐암의 대표적인 초기 신호입니다. 흡연자나 만성 기관지염 환자는 단순 증상으로 넘기기 쉽지만, 변화가 생기면 검사가 필요합니다.
2) 혈담(피 섞인 가래)
가래에 피가 섞여 나오는 혈담은 폐암을 강하게 의심할 수 있는 증상입니다.
3) 호흡 곤란
암이 기관지나 폐 조직을 막으면서 숨이 차고, 계단을 오르거나 가벼운 활동에도 호흡이 힘들어지는 증상이 나타납니다.
4) 흉통
폐 주변 신경이 자극을 받아 가슴 통증이 발생할 수 있습니다. 깊게 숨쉴 때, 기침할 때 더 심해지는 경우가 많습니다.
5) 쉰 목소리
암이 성대 신경을 압박해 목소리가 변하고, 쉰 목소리가 지속되기도 합니다.
6) 체중 감소와 피로
특별히 노력하지 않았는데 체중이 급격히 줄거나 극심한 피로감이 동반되면 폐암의 초기 경고 신호일 수 있습니다.
3. 폐암 초기증상이 나타나는 이유 🧬⚠️
폐암은 기관지나 폐 조직이 종양에 의해 막히거나 압박되면서 증상이 나타납니다. 암이 커지면서 혈관·신경을 침범하면 혈담, 흉통, 호흡곤란이 동반됩니다.
초기에는 감기·기관지염과 비슷해 진단이 늦어질 수 있습니다.
4. 폐암 위험 요인 🚬🌫️
1) 흡연
흡연은 폐암의 가장 큰 원인으로 전체 환자의 70~80%와 관련됩니다.
2) 간접흡연
비흡연자라도 간접흡연에 노출되면 위험이 증가합니다.
3) 대기 오염
미세먼지, 석면, 라돈 같은 환경 요인도 폐암 발생에 기여합니다.
4) 가족력
가족 중 폐암 환자가 있는 경우 위험이 높습니다.
5) 만성 폐질환
만성 기관지염, 폐기종 같은 기저질환은 폐암 발생 위험을 증가시킵니다.
5. 폐암 예방 생활습관 🌿💪
1) 금연
폐암 예방의 가장 확실한 방법은 담배를 끊는 것입니다.
2) 대기질 관리
실내 환기를 자주 하고, 미세먼지 농도가 높은 날은 마스크를 착용해야 합니다.
3) 항산화 식품 섭취
채소, 과일, 녹차 등은 활성산소를 줄여 폐 건강에 도움이 됩니다.
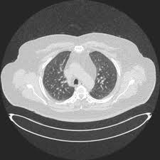
4) 정기검진
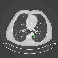
특히 흡연력 있는 40세 이상 성인은 저선량 CT 검진을 권장합니다.
6. 요약표 📑📋
| 구분 | 내용 |
|---|---|
| 대표 초기증상 | 만성 기침, 혈담, 호흡곤란, 흉통, 쉰목소리, 체중감소 |
| 발생 이유 | 폐 조직·기관지가 종양으로 막히거나 압박 |
| 위험 요인 | 흡연, 간접흡연, 대기오염, 가족력, 만성 폐질환 |
| 예방 | 금연, 대기질 관리, 항산화 식품, 정기검진 |
7. 자주 묻는 질문 ❓🤔
1) 폐암 초기에는 증상이 전혀 없을 수 있나요?
네. 무증상인 경우가 많아 정기검진이 필수적입니다.
2) 감기 기침과 폐암 기침은 어떻게 구분하나요?
감기는 일시적이지만, 폐암은 2주 이상 지속되는 만성 기침으로 나타납니다.
3) 폐암은 비흡연자도 걸릴 수 있나요?
네. 간접흡연, 대기오염, 유전적 요인 등으로 비흡연자에게도 발생할 수 있습니다.
8. 결론 📝✅
폐암은 초기에는 감기와 비슷한 증상으로 착각하기 쉽지만, 만성 기침, 혈담, 호흡곤란 같은 신호를 놓치지 않는 것이 중요합니다. 금연과 정기검진이 조기 발견의 핵심입니다.
이 글이 도움이 되셨다면 왼쪽 아래 공감(♥)버튼 눌러주시면 감사하겠습니다!



























'건강' 카테고리의 다른 글
| 백혈구 수치가 낮은 이유 (0) | 2025.08.19 |
|---|---|
| 심장에 좋은 음식10가지 (0) | 2025.08.19 |
| 체리 효능ㅣ부작용 (0) | 2025.08.19 |
| 배가 부글부글 끓는 증상ㅣ해결방법 (0) | 2025.08.19 |
| 혓바늘이 돋는 이유ㅣ해결방법 (0) | 2025.08.18 |