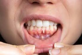
잇몸이 붓고 아픈 증상은 단순히 피곤해서 생기는 일시적인 현상이 아닙니다. 대부분은 치은염, 치주염 같은 잇몸 질환의 초기 신호이며, 방치하면 치아 상실로 이어질 수 있습니다. 때로는 전신 질환과도 연관될 수 있어 반드시 원인을 파악하고 치료해야 합니다.
오늘은 잇몸이 붓고 아플 때의 주요 원인과 효과적인 치료법을 자세히 살펴보겠습니다. 아래에 글 전체를 요약해 놓았으니 꼭 끝까지 읽어보세요!
1. 주요 증상 ⚠️



1) 잇몸 부기
잇몸이 붓는 것은 염증 반응의 대표적인 증상입니다. 치아 주위 잇몸이 빨갛게 부어오르고 눌렀을 때 통증이 동반됩니다. 부기는 치은염에서 흔히 나타나며, 진행되면 치주염으로 발전합니다. 장기간 방치하면 치조골 손상으로 이어질 수 있습니다. 조기 진단이 중요합니다.
2) 통증
잇몸이 붓고 아플 때는 음식 섭취나 양치질이 어려울 정도의 통증이 나타납니다. 특히 뜨겁거나 차가운 음식에 민감해집니다. 잇몸 통증은 세균 감염이나 잇몸 손상과 관련이 있습니다. 단순 진통제로는 근본 치료가 어렵습니다. 원인 치료가 필요합니다.
3) 출혈
양치나 치실 사용 시 피가 나는 경우가 많습니다. 이는 잇몸 염증이 심하다는 신호입니다. 잇몸 출혈은 치은염의 전형적 증상입니다. 반복되면 치주조직 손상으로 이어질 수 있습니다. 정기적인 관리가 필요합니다.
4) 구취
잇몸에 세균이 번식하면 구취가 심해집니다. 음식물 찌꺼기와 염증이 원인이 됩니다. 구취는 단순 구강 위생 문제가 아닙니다. 잇몸 질환의 진행을 의미할 수 있습니다. 대인관계에도 악영향을 줍니다.
5) 치아 흔들림
치주염이 진행되면 치아를 지탱하는 잇몸과 뼈가 손상됩니다. 이로 인해 치아 흔들림이 발생합니다. 치아 흔들림은 잇몸 질환의 말기 증상입니다. 방치하면 치아 상실로 이어질 수 있습니다. 적극적인 치료가 필요합니다.
2. 원인 🔎
1) 치은염
세균이 잇몸에 침투해 염증을 일으킨 상태입니다. 잇몸이 빨갛게 붓고 쉽게 출혈합니다. 치은염은 조기 치료 시 회복이 가능합니다. 하지만 방치하면 치주염으로 진행됩니다. 꾸준한 구강 관리가 필요합니다.
2) 치주염
치주염은 잇몸뿐 아니라 치조골까지 손상되는 심각한 질환입니다. 잇몸이 붓고 통증이 심해집니다. 치주염은 치료하지 않으면 치아 상실로 이어집니다. 정기적인 스케일링이 필요합니다. 전문적인 치료가 반드시 동반되어야 합니다.
3) 사랑니 및 치아 문제
사랑니가 매복되거나 비정상적으로 나면 주변 잇몸이 붓고 통증이 발생합니다. 치아 우식증도 잇몸 염증을 유발할 수 있습니다. 치아 문제는 국소적 원인으로 나타납니다. 발치나 충치 치료가 필요할 수 있습니다. 치과 검진으로 확인해야 합니다.
4) 외상
딱딱한 음식이나 잘못된 칫솔질로 잇몸이 손상될 수 있습니다. 외상이 반복되면 염증이 심해집니다. 외상성 잇몸 손상은 관리하지 않으면 감염으로 이어집니다. 부드러운 칫솔을 사용하는 것이 좋습니다. 자극을 피하는 것이 중요합니다.
5) 전신 질환
당뇨병, 면역질환 등도 잇몸 염증을 악화시킵니다. 전신 질환은 잇몸 회복 능력을 떨어뜨립니다. 전신적 요인은 단순 구강 문제가 아닙니다. 원인 질환 치료가 병행되어야 합니다. 정기 검진이 필요합니다.
3. 치료법 🩺
1) 스케일링
치석과 세균을 제거하는 기본 치료입니다. 정기적인 스케일링은 잇몸 건강 유지에 필수적입니다. 스케일링은 염증을 예방하고 초기 잇몸 질환을 개선합니다. 6개월마다 받는 것이 좋습니다. 예방 효과가 큽니다.
2) 항생제 치료
심한 염증 시 항생제를 사용하기도 합니다. 국소 적용이나 전신 투여가 가능합니다. 항생제 치료는 세균을 빠르게 억제합니다. 하지만 남용은 내성을 유발할 수 있습니다. 반드시 전문의 지시에 따라야 합니다.
3) 치근활택술
치아 뿌리를 매끈하게 만들어 세균 부착을 줄입니다. 치주염 치료에 효과적입니다. 치근활택술은 잇몸 회복을 돕습니다. 정기적 관리와 병행해야 합니다. 전문적인 시술이 필요합니다.
4) 외과적 치료
심한 치주염의 경우 잇몸 절제술이나 잇몸 이식이 필요할 수 있습니다. 외과적 치료는 진행된 질환에서 효과적입니다. 치아를 보존하기 위한 최후의 방법입니다. 수술 후에도 꾸준한 관리가 필요합니다. 재발 방지를 위해 정기 검진이 필수입니다.
5) 생활습관 교정
금연, 올바른 칫솔질, 영양 관리 등은 잇몸 치료 효과를 높입니다. 흡연은 치주질환을 악화시킵니다. 생활습관 개선은 장기적인 치료 효과를 보장합니다. 꾸준한 습관이 중요합니다. 정기적인 관리와 병행해야 합니다.
4. 요약표 📑
| 원인 | 특징 | 치료 방법 |
| 치은염 | 붓기·출혈 | 스케일링, 구강 관리 |
| 치주염 | 통증·치아 흔들림 | 치근활택술, 외과적 치료 |
| 사랑니 문제 | 국소적 붓기·통증 | 발치, 충치 치료 |
| 외상 | 잇몸 손상 | 부드러운 칫솔, 자극 피하기 |
| 전신 질환 | 면역 저하·회복 지연 | 기저 질환 치료 병행 |
5. 자주묻는질문 🙋
1) 잇몸 붓기가 저절로 좋아질 수 있나요?
가벼운 염증은 호전될 수 있지만, 대부분은 치료가 필요합니다. 방치하면 악화됩니다.
2) 집에서 할 수 있는 관리법은 무엇이 있나요?
올바른 양치, 구강세정제 사용, 규칙적인 스케일링이 도움이 됩니다.
3) 잇몸 통증이 심하면 진통제를 먹어도 되나요?
일시적으로 도움이 되지만, 근본 치료가 필요합니다. 치과 진료를 받아야 합니다.
4) 임신 중 잇몸이 자주 붓는 이유는 무엇인가요?
호르몬 변화로 인해 잇몸이 민감해지고 염증이 잘 생깁니다. 정기적인 관리가 필요합니다.
5) 예방 방법은 무엇인가요?
정기 스케일링, 올바른 양치 습관, 금연, 균형 잡힌 식습관이 예방에 효과적입니다.
6. 결론 ✨
잇몸이 붓고 아픈 증상은 대부분 치은염, 치주염에서 비롯되며, 방치하면 치아 상실까지 이어질 수 있습니다. 정기적인 치과 검진과 올바른 생활습관으로 충분히 예방과 치료가 가능하므로 조기 관리가 필수적입니다.
이 글이 도움이 되셨다면 왼쪽 아래 공감(♥)버튼 눌러주시면 감사하겠습니다!





















'건강' 카테고리의 다른 글
| 50대 혈압 정상범위 (0) | 2025.09.07 |
|---|---|
| 소변이 탁한이유ㅣ원인ㅣ대처방법 (0) | 2025.09.06 |
| 경동맥 초음파 검사로 알수있는병 (0) | 2025.09.06 |
| 목에서 피가나는 증상ㅣ원인ㅣ대처방법 (0) | 2025.09.06 |
| 발에 땀이 많이 나는 이유ㅣ대처방법 (0) | 2025.09.06 |