알츠하이머와 파킨슨은 모두 노인성 신경퇴행성 질환이지만, 서로 다른 원인과 증상을 가지고 있습니다. 두 질환 모두 기억력 저하, 운동 기능 장애, 일상생활 불편을 초래할 수 있어 혼동되기 쉽습니다.
하지만 정확히 구분하는 것은 치료와 관리 방향을 설정하는 데 매우 중요합니다. 이번 글에서는 알츠하이머와 파킨슨의 차이와 구분법을 체계적으로 정리했습니다.
1. 질환 개요 ⚠️



1) 알츠하이머병
알츠하이머는 치매의 가장 흔한 원인 질환으로, 뇌 속에 베타아밀로이드 단백질과 타우 단백질이 비정상적으로 축적되면서 신경세포가 손상됩니다.
가장 대표적인 증상은 기억력 저하이며, 점진적으로 언어능력·판단력·공간지각력이 떨어집니다. 서서히 진행되기 때문에 초기에는 단순한 건망증과 혼동되기도 합니다.
2) 파킨슨병
파킨슨병은 중뇌의 흑질 부위에서 도파민 신경세포가 소실되어 발생하는 운동신경 질환입니다. 대표적 증상은 손 떨림, 근육 경직, 느린 움직임, 균형 장애입니다.
시간이 지나면서 일부 환자는 인지 기능 저하와 치매 증상을 동반하기도 합니다. 즉, 파킨슨병은 운동 장애가 먼저 나타나는 것이 특징입니다.
2. 주요 차이점 🔍



1) 발병 원인
알츠하이머는 비정상 단백질 축적으로 뇌 신경세포가 파괴되고, 파킨슨은 도파민 신경세포 소실로 인해 운동 신경전달이 약화됩니다. 원인 단백질과 손상 부위가 다르다는 점이 핵심입니다.
2) 주요 증상
알츠하이머는 기억력·언어 능력 저하가 먼저 나타나고, 파킨슨은 운동 증상(손 떨림, 근육 뻣뻣함, 느린 움직임)이 먼저 나타납니다. 즉, 알츠하이머는 인지 기능, 파킨슨은 운동 기능이 초기 핵심 증상입니다.
3) 진행 양상
알츠하이머는 서서히 인지 기능이 떨어지면서 치매로 진행됩니다. 반면 파킨슨은 운동 장애가 중심이며, 시간이 지나면서 일부 환자에게서만 치매 증상이 동반됩니다. 따라서 발병 초기에 어떤 증상이 주로 나타나는지가 구분의 중요한 기준입니다.
4) 치료 방법
알츠하이머는 진행 억제 약물(콜린에스터라제 억제제 등)이 사용되고, 파킨슨은 도파민 보충제(레보도파)와 운동치료가 주를 이룹니다. 두 질환 모두 완치는 어렵지만, 약물과 재활치료로 증상을 완화하고 삶의 질을 개선할 수 있습니다.
5) 예후
알츠하이머는 서서히 전반적인 뇌 기능이 저하되고, 파킨슨은 운동 능력 상실이 주요 문제입니다. 두 질환 모두 조기 발견과 꾸준한 관리가 예후를 크게 좌우합니다.
3. 구분 포인트 ✅
1) 초기 증상으로 확인
기억력 저하가 먼저라면 알츠하이머 가능성이 높고, 손 떨림·근육 경직이 먼저라면 파킨슨 가능성이 높습니다.
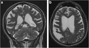
2) 뇌 영상 검사
MRI·PET 검사에서 알츠하이머는 뇌 위축, 파킨슨은 흑질 도파민 세포 감소가 확인됩니다. 영상검사는 두 질환 감별에 유용합니다.
3) 신체 기능 관찰
걷기, 표정, 손동작 등을 살펴보면 구분이 가능합니다. 파킨슨 환자는 걸음걸이가 짧고 느려지며 표정이 무표정해집니다.
4) 가족력과 발병 나이
알츠하이머는 주로 65세 이후, 파킨슨은 60세 전후로 많이 발병합니다. 가족력도 위험 요인으로 작용할 수 있습니다.
5) 자가진단 체크
일상에서 기억력 저하가 두드러지면 알츠하이머, 손 떨림·움직임 둔화가 뚜렷하면 파킨슨 가능성이 높습니다. 단, 정확한 진단은 전문의 검사가 필요합니다.
4. 생활속 관리팁 🌿
1) 두뇌 자극 활동
독서, 글쓰기, 악기 연주는 알츠하이머 진행을 늦추는 데 도움을 줍니다. 인지 기능을 꾸준히 사용해야 합니다.
2) 규칙적 운동
걷기, 요가, 수영은 파킨슨 환자의 운동 기능 유지에 필수적입니다. 알츠하이머 환자에게도 운동은 뇌혈류 개선에 효과적입니다.
3) 균형 잡힌 식사
항산화 영양소, 오메가-3가 풍부한 식단은 두 질환 예방에 도움이 됩니다. 가공식품과 고지방식은 줄이는 것이 좋습니다.
4) 사회적 교류 유지
사람과의 소통은 우울감과 인지 저하를 늦추는 데 큰 도움이 됩니다. 고립은 증상 악화를 촉진합니다.
5) 정기 검진
정기적 신경과·안과 검진은 조기 발견과 진행 억제를 위해 필수적입니다. 특히 가족력이 있다면 더 주의가 필요합니다.
5. 요약표 📑
| 구분 | 알츠하이머 | 파킨슨 |
| 주 원인 | 단백질 축적 | 도파민 세포 소실 |
| 초기 증상 | 기억력 저하 | 손 떨림, 느린 움직임 |
| 주된 영향 | 인지 기능 | 운동 기능 |
| 치료 | 인지 기능 억제제 | 도파민 보충제 |
6. 자주묻는질문 🙋
1) 알츠하이머와 파킨슨이 동시에 올 수 있나요?
네, 일부 환자는 파킨슨병 진행 중 치매 증상이 동반되기도 합니다.
2) 두 질환 모두 유전되나요?
가족력이 위험 요인이지만, 생활습관과 환경 요인도 크게 작용합니다.
3) 운동으로 예방할 수 있나요?
규칙적 운동은 파킨슨 증상 완화와 알츠하이머 예방 모두에 효과적입니다.
4) 치료 약물은 평생 복용해야 하나요?
대부분 진행 억제 목적으로 장기간 복용해야 하지만, 전문의 조율이 필요합니다.
5) 치매와 파킨슨 차이는 무엇인가요?
치매는 인지 기능 장애가 중심이고, 파킨슨은 운동 장애가 중심이라는 점에서 다릅니다.
7. 결론 ✨
알츠하이머와 파킨슨은 모두 노인성 신경퇴행성 질환이지만, 발병 원인과 초기 증상이 다릅니다. 구분을 명확히 이해하면 조기 발견과 관리에 큰 도움이 됩니다.
이 글이 도움이 되셨다면 왼쪽 아래 공감(♥)버튼 눌러주시면 감사하겠습니다!





















'건강' 카테고리의 다른 글
| 자다가 소변이 자주 마렵다ㅣ치료방법 (0) | 2025.09.21 |
|---|---|
| 비타민B 효능ㅣ섭취방법ㅣ부작용 (0) | 2025.09.19 |
| 수면 무호흡증 증세ㅣ원인ㅣ치료법 (0) | 2025.09.19 |
| 비타민E가 많은 음식ㅣ권장량 (0) | 2025.09.19 |
| 비타민B12가 많은 음식 10가지 (0) | 2025.09.19 |